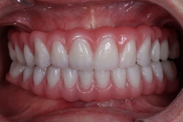
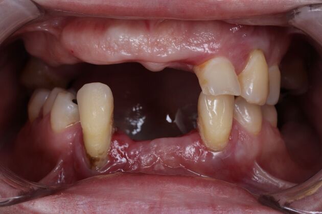
Dental Implants: Silvia - Fixed Hybrid denture
Description
In Silvia's case, the use of a removable denture that didn't fit well leave her with low self-esteem and not wanting to smile. In her case, after analyzing her profile, we have created a total fixed prosthesis to achieve a natural and harmonious smile. Today dentistry often restores not only oral health, but the general health of the patient.



