All-On-4/6: Layne - Hybrid prosthesis of PEEK
Description
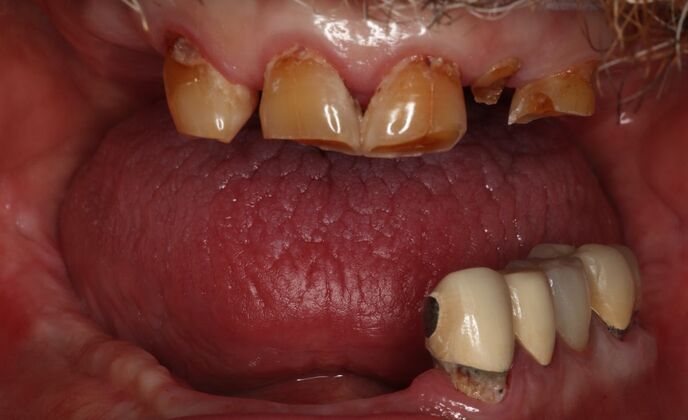
Oral and aesthetic rehabilitation is one of the greatest desires of those who come to the clinic. Fixed prosthesis treatment is one of the most sought after for those looking for a fixed and lasting solution and who want to smile without fear and naturally.





