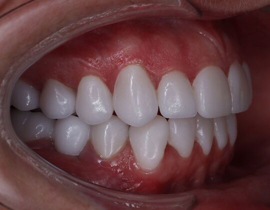
Porcelain Veneers: Michelle
Description
A smile is a very important part of one's appearance and is often the first thing people notice. Every person has a different color of teeth, and many have a different shape. Luckily there is a solution to improve your smile: Veneers!





